[OSEN=지민경 기자]“‘미스터트롯’은 제 인생의 기적, ‘2020트롯 어워즈’,대한민국 트롯계에 기적과도 같은 일!”‘미스터트롯’진 임영웅이‘2020트롯 어워즈’를 통해 생애 첫MC데뷔에 나서는
[OSEN=지민경 기자]ITZY가 신곡 'Not Shy'(낫 샤이) 뮤직비디오 촬영 현장에서 초강력 비주얼을 뽐냈다.ITZY는 오늘(17일) 오후 6시 새 앨범 'Not Shy'의 발매를 앞두고, 타이틀곡 뮤직비디오와 재킷 촬영 현장에서 포착한 비하인드 컷 3장
[OSEN=손찬익 기자] 3위 LG와 5위 KIA가 5일 만에 다시 맞붙는다. LG와 KIA는 오는 18일부터 잠실구장에서 2연전을 치른다.올 시즌 상대 전적에서 6승 3패로 우세를 보인 LG는 임찬규를 선발 투수로 예고했다. 임찬규는 올 시즌 8승 4패(평
[OSEN=김은애 기자] 장예원 아나운서가 SBS에 사의를 표명했다.장예원 아나운서는17일 오전 방송된 SBS 파워FM ‘씨네타운’에서"지난 주에 먼저 기사가 나서 많은 분들이 놀라고 걱정을 끼쳐 드렸는데 먼저 말씀을 드리
[OSEN=김은애 기자] 배우 고경표가 유흥주점 방문 논란 이후 첫 근황을 공개했다.고경표는 17일 개인 인스타그램에 별다른 멘트 없이 사진 여러 장과 영상을게재했다.사진 속에는 고경표가 찍은 것으로 보이는 풍경이 담겨있다.
[OSEN=지민경 기자] 배우 배정남이 생일을 맞이한 엄정화에게 축하 메시지를 전했다.배정남은 17일 자신의 인스타그램에 "누이 생일 축하한데이~~ 오케이마담 화이팅!!"이라는 글과 함께 한 장의 사진을 게재했다.공개된
[OSEN=최나영 기자] 배우 한채영이 '현실 아들맘'의 면모를 보여 미소를 자아냈다.한채영은 16일 자신의 SNS에 "#마블들의대화#아들맘의비애#ㅋㅋㅋㅋㅋㅋㅋㅋ#마블상봉아#세상을구하러왔다"란 글을 게재했다.함께 공개한
[OSEN=지민경 기자]이은상이 첫 싱글 앨범 ‘Beautiful Scar(뷰티풀 스카)’의 스케줄러를 공개하며 본격적인 솔로 데뷔 카운트다운에 돌입한다.브랜뉴뮤직은 오늘(17일) 정오, 공식 SNS 채널들을 통해 이은상의 첫 싱글 앨범 &l
[OSEN=이승우 기자] 치욕적인 패배를 당한 바르셀로나가 차기 감독 선임을 위해 발빠르게 움직이고 있다. 유력한 후보인 로날드 쿠만 감독의 모습이 바르셀로나 공항에서 포착됐다.스페인 매체 ‘마르카’의17일(한국시간)
[OSEN=지민경 기자] 배우 오지호와 신소율이 유쾌한 입담을 뽐내며 아침을 활기차게 열었다.17일 오전 방송된 SBS 파워FM ‘씨네타운’에는 영화 '태백권'의 주역 오지호와 신소율이 출연했다.지난해 12월 공개 열애 중이던뮤
[OSEN=연휘선 기자] '1박2일'여섯 남자가 웃음 폭탄을 터뜨렸다.16일방송된 KBS 2TV 예능 프로그램 '1박2일 시즌4'(이하1박2일)에서는 '캠핑 특집 – 수려한 휴가' 두 번째 이야기가 펼쳐져 시청자들에게 빅 재미를 선사했다. 여름철
[OSEN=이인환 기자] 상주상무 김진혁이 K리그 100경기 출장 기록을 달성한 소감을 전했다.상주 김짐현은 지난 15일서울전에서 K리그 통산 100경기 출장 기록을 달성했다. 김진혁은 이날 선발 출전해 상주의 중앙 수비를 책임졌다.경
[OSEN=김은애 기자] 임영웅이 눈부신비주얼을 뽐냈다.16일 뉴에라 프로젝트 SNS에는 '미스터트롯' 콘서트 비하인드 사진이 게재됐다.사진 속 임영웅은 대기실에서 진지한 표정으로 무대를 준비하고 있다. 특히 임염웅은 단단한 눈
[OSEN=이인환 기자] 맹공을 퍼부어도 필드 골은 없다. 결국 결정력이 문제였다.축구 전문 통계 업체 '옵타조'는 17일(한국시간) "맨체스터 유나이티드는 유럽축구연맹(UEFA) 유로파리그(UEL) 8강전과 4강전서 46개의 슈팅을 날리고
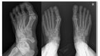
운동선수들의 발은 대개 평발의 반대 즉 아치가 높은 형태의 요족이다.이런 발들이 힘이 좋고, 점프나 폭발적인 순발력을 내기에 좋은 발이라는 것이 널리 알려진 얘기이다.물론 반대로 평발의 경우에는 발이 쉬 피곤해지고여
[OSEN=손찬익 기자] NC 다이노스가 지난 16일 창원NC파크에서 열린 LG 트윈스와의 홈경기에 특별한 손님을 초청했다. 지난 4월 어려운 이웃을 위해 마스크 100장을 직접 만들어 기부한 반준우(9세), 반예준(7세) 형제이다.창원시 진해
[OSEN=손찬익 기자] 스캇 보라스는 메이저리그에서 가장 유명한 에이전트다. 그는 구단에는 악마로 불리지만 선수들에게는 천사같은 존재다.보라스는 신종 코로나 바이러스 감염증(코로나19) 감염 방지 차원에서 소속 선수들이
<사진1>금정섭 원장[OSEN=박선양 기자]올 시즌부터 KBO 의무분과위원회 산하 LG 트윈스 필드 닥터로 활동하고 있는 금정섭 원장(46.세종스포츠정형외과)은 부상 치료도 중요하지만 사전 예방 교육이 더 필요하다고 강조한다.어
[OSEN=김보라 기자] 배우 연정훈의 몸개그가 한창 진행 중이다.지난 16일 방송된KBS2 예능 '1박2일시즌4'는 '캠핑특집-수려한휴가' 두번째이야기로 꾸며진 가운데, 강원도삼척으로 자연을즐기러떠난멤버들의여행기가펼쳐졌다.명인
[OSEN=최나영 기자] 신종코로나바이러스 감염증(코로나19) 극복 응원송 ‘Me Me We(나 너 우리)’의 뮤직비디오 조회수가200만뷰를 돌파했다.지난달30일 워너뮤직 코리아 공식 유튜브 채널을 통해 공개된 코로나19극복 응원송 &l
박지현, 싱그러운 미소
아이브 장원영,'여신의 반전 뒤태'
한소희-전종서, 손 꼭 잡고 레드카펫 행진
임윤아,'강렬한 레드'
에스파 카리나, 앙증 맞은 고양이 [O! STAR]
"큰 거 있다" 유노윤호에게 ‘2’와 ‘6’이란? [O! STAR]
드라마는 ‘스릴러’ 포토타임은 ‘훈훈’ 당신이 죽였다 제작발표회 [O! STAR]
키스오브라이프,’공항 런웨이’ [O! STAR]
아름다운 무대 미연,’Say My Name’ [O! STAR]